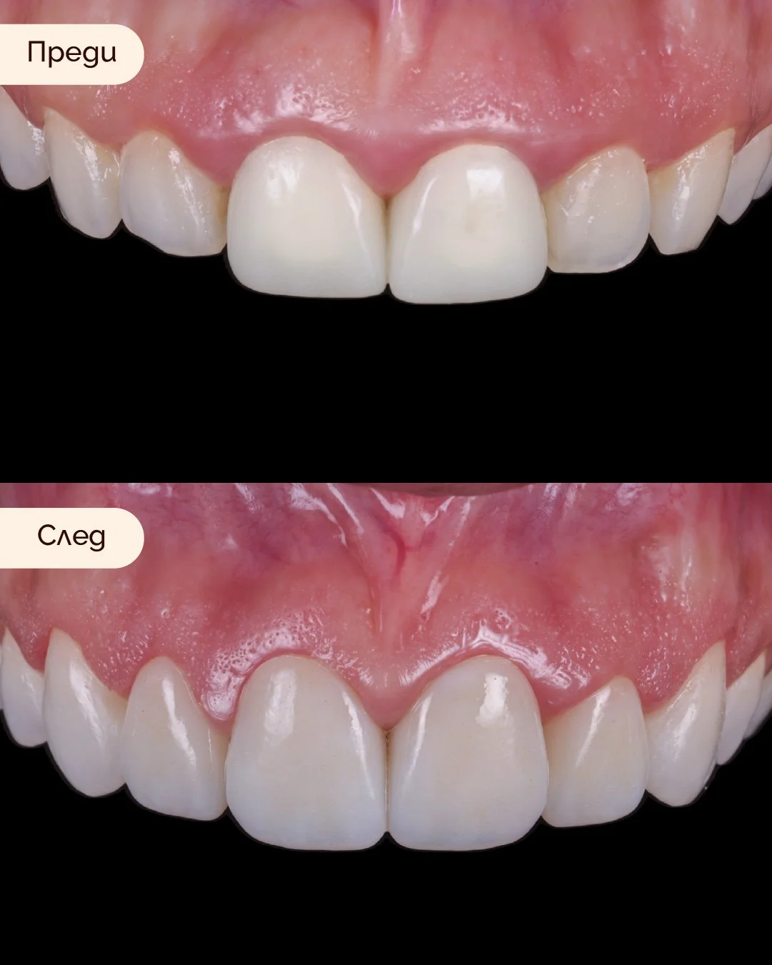
А.Г.

Оплаквания: Пациентът съобщава за дребни и неестетични зъби, наличие на изтриване и отчупвания по режещите ръбове, както и неудовлетвореност от общото естетично излъчване на усмивката.

Лечение: Изготвен е цялостен естетичен план, включващ хирургично удължаване на венците с цел откриване на естествената клинична коронка и постигане на правилни зъбни пропорции. След хирургичната фаза е извършено естетично възстановяване на четирите фронтални зъба с фасети, с фокус върху хармония, естествен вид и дългосрочна стабилност на резултата.

Заповядайте в нашата клиника, а ние ще се погрижим за останалото.

Previous
Previous

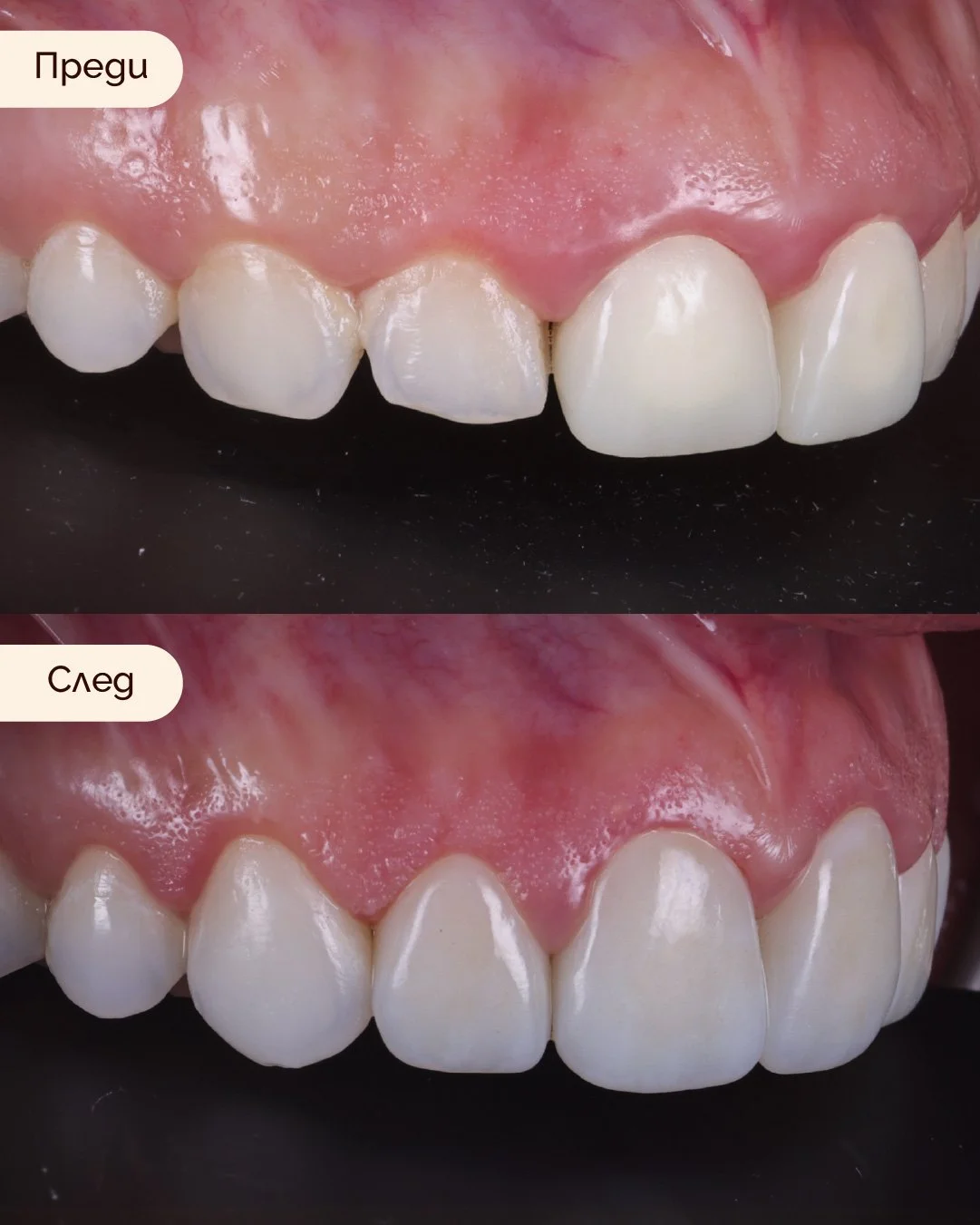
К.К.

Next
Next

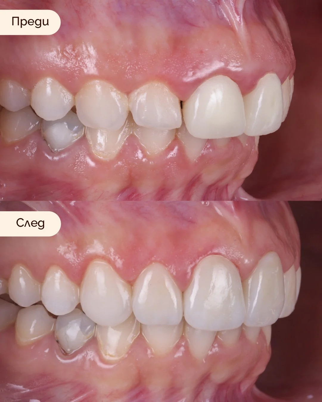
К.Д.