К.Д.
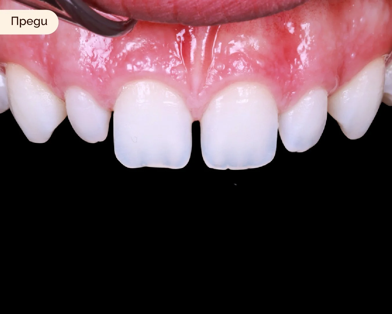
Оплакване: Малки странични резци и разстояния между тях.
Лечение: 4 фасети за затваряне на разстоянията и уголемяване на страничните резци.
Заповядайте в нашата клиника, а ние ще се погрижим за останалото.
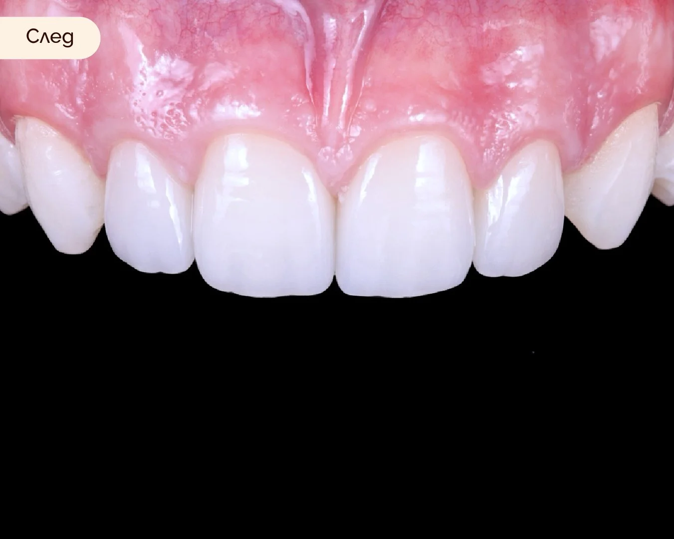
Оплакване: Малки странични резци и разстояния между тях.
Лечение: 4 фасети за затваряне на разстоянията и уголемяване на страничните резци.
Заповядайте в нашата клиника, а ние ще се погрижим за останалото.