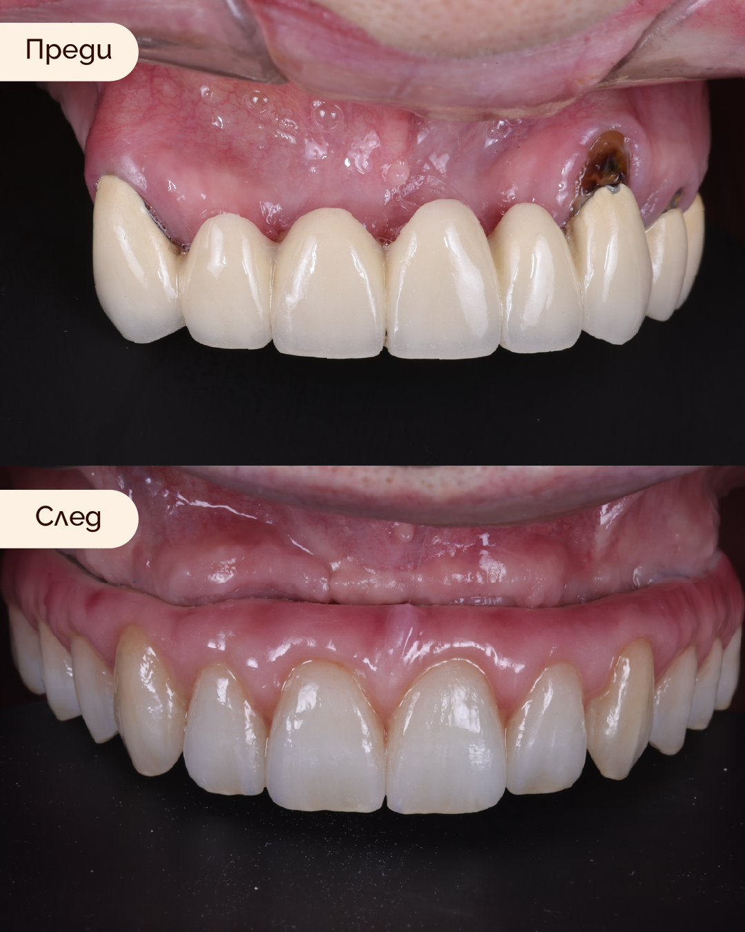
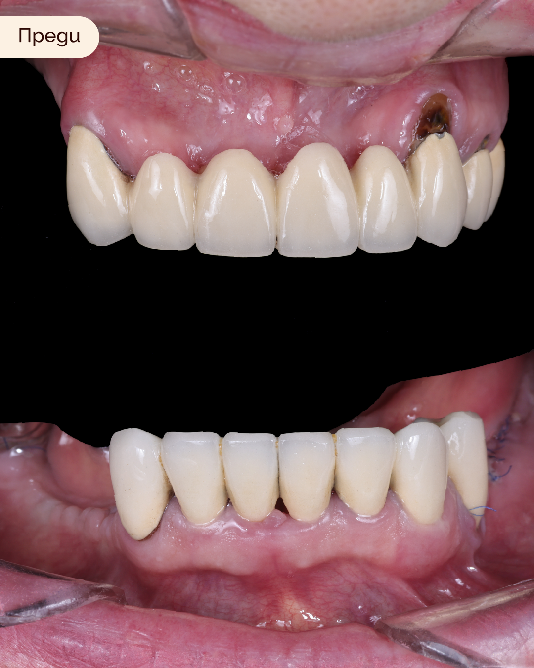
Н.И.

Оплакване: Възпаления на венците поради нестабилност и неправилна функция на подвижните протези, непълноценно дъвчене, нарушена захапка, неестетичен вид на зъбите.

Лечение: Заместване на нелечимите зъби с импланти. Пълна рехабилитация с цел стабилна захапка, правилна дъвкателна функция, дългосрочно здраве на меките тъкани и естетика.

Заповядайте в нашата клиника, а ние ще се погрижим за останалото.

Next
Next

Х.С.