Х.С.

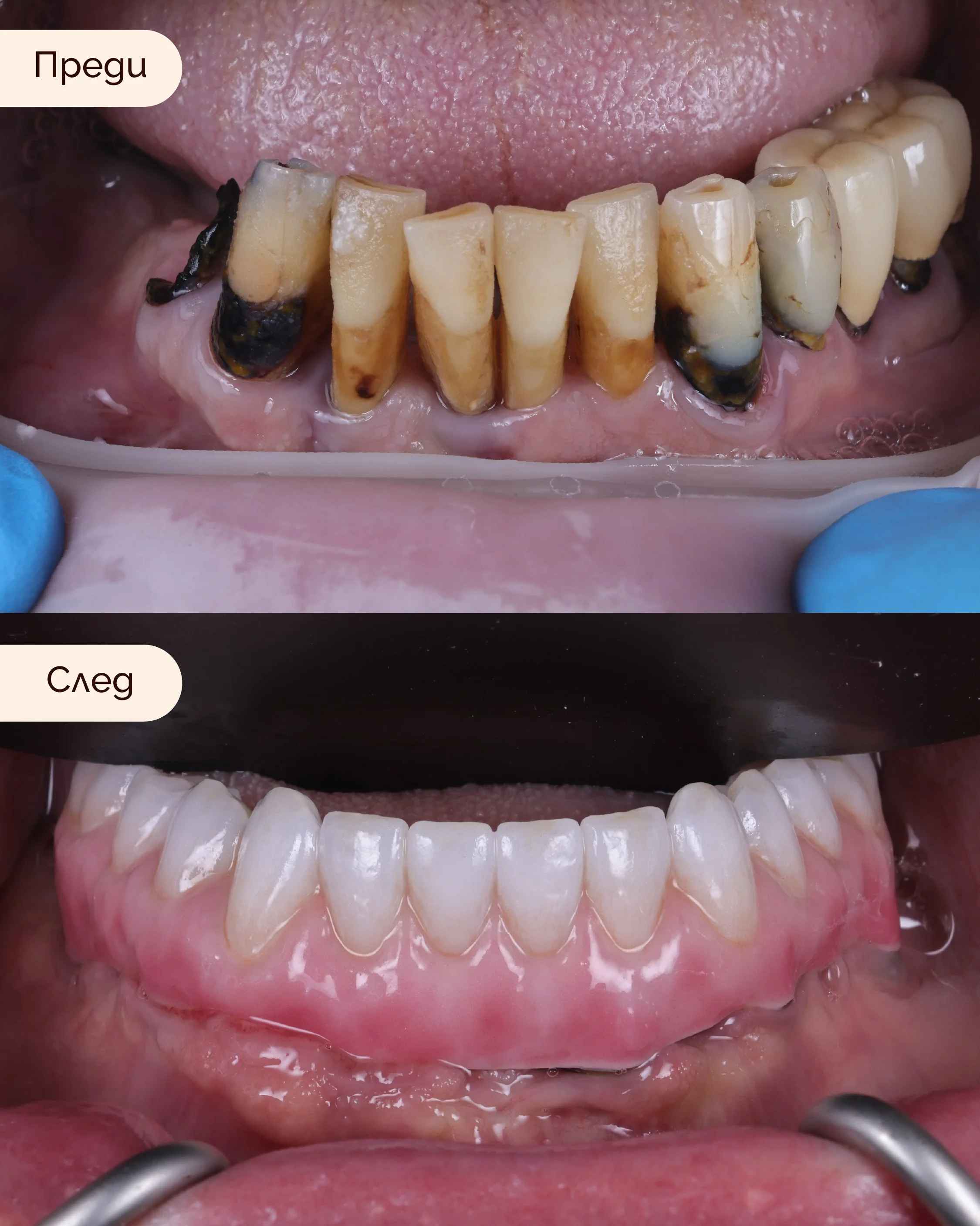
Оплакване: Подвижни зъби, множество кариеси, затруднено дъвчене и нарушена естетика.

Лечение: Отстраняване на зъбите, които не могат да бъдат спасени, и заместването им с дентални импланти. След това цялостно възстановяване на захапката и нормалната функция, така че пациентът да може да дъвче спокойно и да има добър външен вид.

Заповядайте в нашата клиника, а ние ще се погрижим за останалото.

Previous
Previous

Н.И.

Next
Next

А.М.