Й.М.
Оплакване: Крив преден зъб.
Лечение: Алайнери за 12 месеца за подреждане и хармонизиране на усмивката, последвано от избелване.
Заповядайте в нашата клиника, а ние ще се погрижим за останалото.
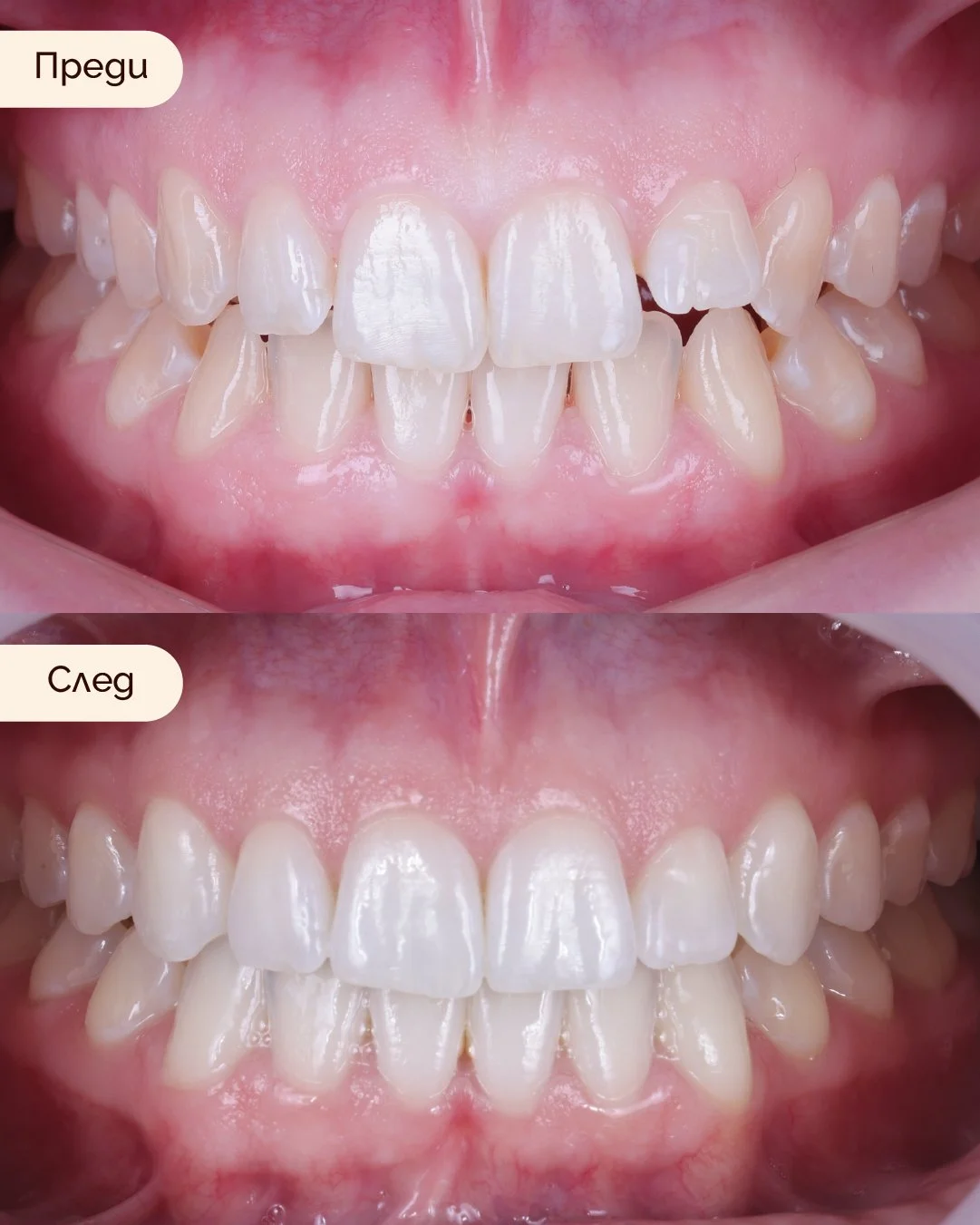
Оплакване: Крив преден зъб.
Лечение: Алайнери за 12 месеца за подреждане и хармонизиране на усмивката, последвано от избелване.
Заповядайте в нашата клиника, а ние ще се погрижим за останалото.