Ц.П.
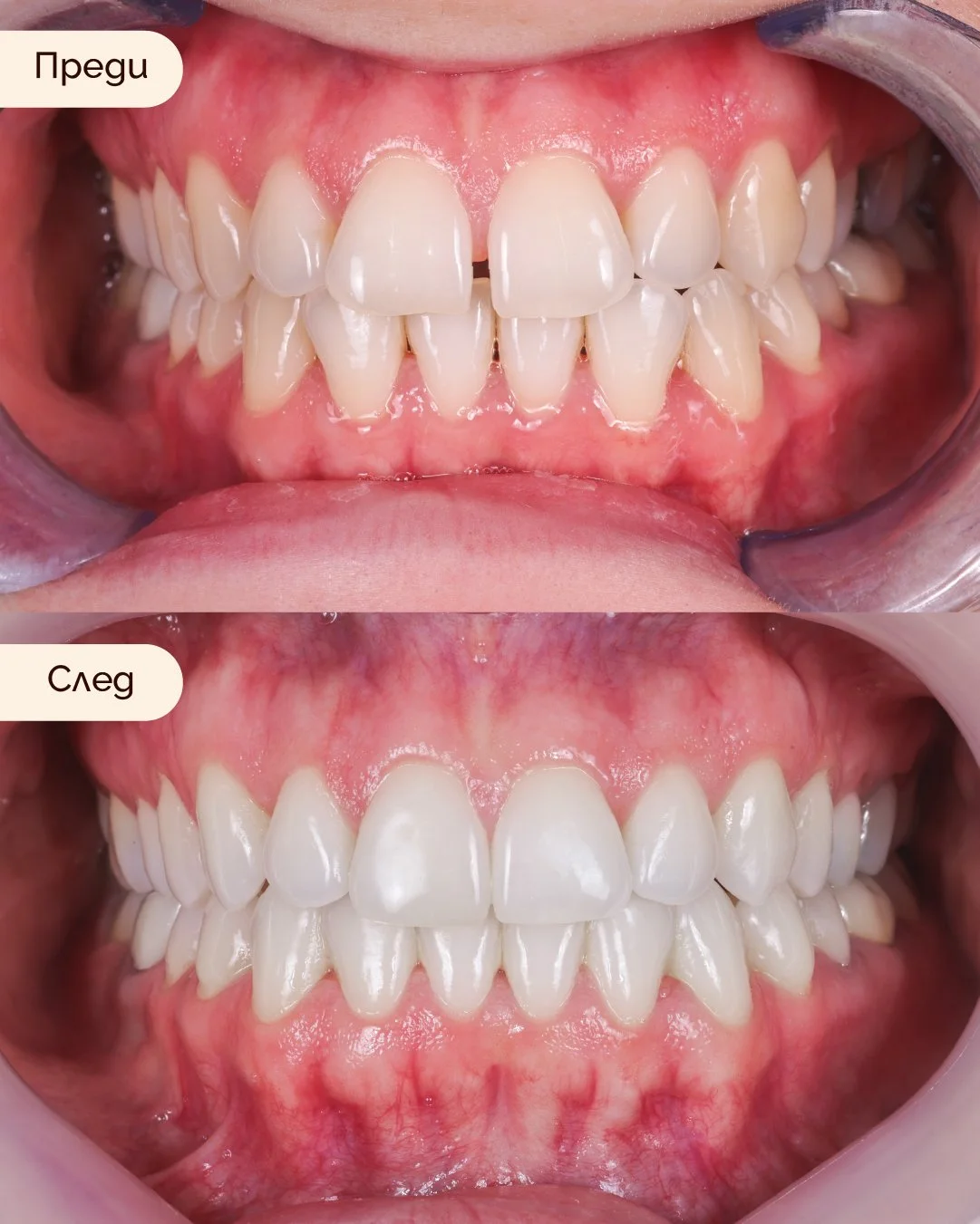
Оплакване: Разстояние между предните зъби.
Лечение: Алайнери за 12 месеца, бондинг за изравняване на ръбовете и избелване. Подмяна на стари коронки и лечение на кариеси.
Заповядайте в нашата клиника, а ние ще се погрижим за останалото.
Оплакване: Разстояние между предните зъби.
Лечение: Алайнери за 12 месеца, бондинг за изравняване на ръбовете и избелване. Подмяна на стари коронки и лечение на кариеси.
Заповядайте в нашата клиника, а ние ще се погрижим за останалото.